Indaiatuba - SP
07 FEV

TERAPIA POR ONDAS DE CHOQUE

Confira nesse artigo tudo o que você precisa saber sobre o Shockwave.

Leia mais
24 JAN

Artrite Séptica em Equinos: Causas e Tratamento

Confira neste artigo tudo sobre a artrite séptica em equinos.

Leia mais
10 JAN

Habronemose Cutânea - Uma doença sazonal.

Confira neste artigo um pouco sobre a Doença de Verão, também conhecida como Habronemose.

Leia mais
13 DEZ

Bloqueio Perineural 4 Ponto Baixos - Local e para o que serve?

Confira neste artigo um pouco sobre o bloqueio perineural 4 pontos baixos.

Leia mais
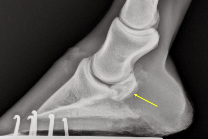
08 NOV

Síndrome do Navicular em equinos, quais os sinais clínicos e como tratar?

Confira neste artigo tudo sobre a Síndrome do Navicular em Equinos.

Leia mais
27 SET

Laminite em Equinos: Entendendo a Doença e Suas Implicações

Confira neste artigo tudo sobre a laminite em equinos: causas, sintomas e tratamentos para garantir a saúde dos cascos do seu cavalo.

Leia mais
13 SET

A importância da hidratação cavalos atletas.

Confira nesse artigo a importância da hidratação para manter o desempenho de cavalos atletas.

Leia mais
23 AGO

Conexão: Capacitação em Medicina Equina com Impacto Social

Confira neste artigo o que é o Evento Conexão e como fazer para participar.

Leia mais