Indaiatuba - SP
Síndrome do Navicular em equinos, quais os sinais clínicos e como tratar?

Síndrome do Navicular em equinos, quais os sinais clínicos e como tratar?

M.V Ricardo Prianti M.V Ricardo Prianti
8 de novembro de 2024

INTRODUÇÃO

??A Síndrome do Navicular é uma doença degenerativa associada ao osso sesamóide distal, também conhecido como navicular dos equinos e é uma das causas mais comuns de claudicação crônica desses animais, reduzindo o desempenho atlético. Pode ser limitada a um membro ou então mais de um, causando uma claudicação bilateral.

É uma doença que atinge todas as raças de equinos e está intimamente associada ao comprometimento dos movimentos do animal (claudicação). Ela normalmente acomete diferentes regiões como: osso navicular; superfície flexora fibrocartilaginosa do osso navicular; ligamentos inserções capsulares do osso navicular; TDFP e bursa do navicular.


ANATOMIA

O navicular está localizado na região palmar/plantar do dígito do equino e entre a porção distal do tendão flexor digital profundo e a articulação interfalangeana distal.

Fig 1 - Osso navicular e tendão flexor digital profundo. Fonte: cavalus.com.br


O osso navicular tem duas superfícies (uma flexora e outra articular), duas bordas (medial e lateral) e se ossifica a partir de um centro único, além de possuir duas superfícies articulares separadas, cobertas por cartilagem hialina (TRHALL, 2010).


TEORIA DA BIOMECÂNICA

É uma teoria que sugere que a pressão constante do tendão flexor digital profundo e do flexor do osso navicular provoca dor persistente, a qual se intensifica durante a extensão da passada, quando a articulação interfalangeana permanece estendida. Devido  a  essa  pressão,ocorrem  mudanças  estruturais  do  osso  sesamoide  distal  (OSD).  (Siqueira, 2017; Todero et al, 2022).


TEORIA VASCULAR

Segundo Todero et al (2022), a ausência de vascularização no osso navicular é o principal fator responsável pela degeneração desse osso. Isso resulta em coagulações nos vasos sanguíneos que irrigam o sesamóide distal, ocasionando dor persistente e necrose devido à falta de suprimento sanguíneo na região. 


OSTEOARTRITES

A teoria das osteoartrites está intimamente relacionada a uma doença degenerativa, muito similar a uma osteoartrite. Uma das formas seria ocorrer o desgaste do TFDP, causando aderência do osso sesamóide distal (Todero et al, 2022). 

De acordo com Peixoto (2010), algumas pesquisas têm investigado a influência de fatores hereditários entre as raças de cavalos, observando que a conformação dos membros e as diferenças no osso navicular podem variar conforme a raça.

Segundo Rijkenhuizen (2006), os fatores genéticos desempenham um papel importante na suscetibilidade a doenças articulares, especialmente em casos de síndrome navicular.


DIAGNÓSTICO

O diagnóstico da doença se baseia na anamnese, nos achados dos exames físicos, no bloqueio do nervo digital palmar e nas imagens radiográficas (SMITH,2006).

TRHALL (2010) afirma que em casos de suspeita da síndrome do osso navicular, ambos os membros devem ser radiografados, uma vez que as alterações radiográficas encontradas são bilaterais, mesmo quando os sinais clínicos não estão presentes.

Segundo Florindo (2010), o bloqueio do nervo digital palmar é utilizado como exame complementar na síndrome navicular. Devido ao alívio da dor proporcionado por esse bloqueio, o cavalo pode apresentar uma melhora na marcha, mas ainda assim a pata irá tocar o solo primeiro com a pinça. Essa alteração mecânica não pode ser corrigida por meio de um bloqueio nervoso.

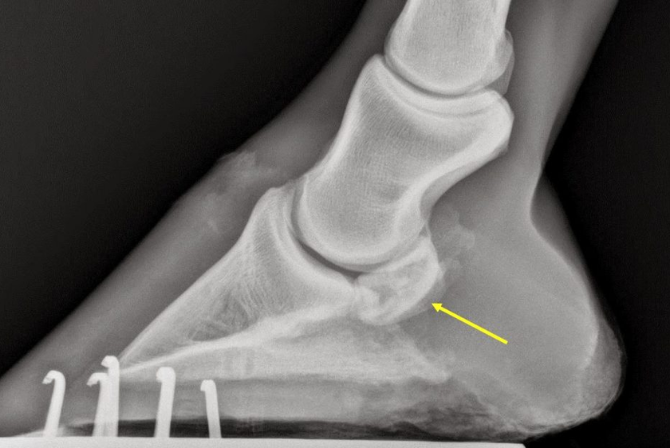
Exame Radiográfico

Na avaliação radiográfica, devido à localização e ao formato complexo do osso navicular, é necessário realizar, no mínimo, três projeções distintas para uma análise completa.

  • Dorsoproximais-palmarodistais anguladas 

  • lateromedial

  • Palmaroproximal-palmarodistal oblíqua


Fig 2 - Alterações radiográficas observadas na degeneração do navicular. Projeção dorsoproximal-palmarodistal em ângulo de 65 graus: A, normal; B, entesófito na extremidade e borda proximal irregular; C, invaginações em formato de pirulito na borda distal; D, formação de lesão cística. Projeção lateromedial: A, normal; B, perfil alongado do navicular causado pelo remodelamento (formação de entesófito); C, erosão do córtex flexor; D, formação de lesão cística. Projeção palmaroproximal-palmarodistal: A, normal; 13 B, erosões do córtex flexor; C, aumento de volume da fossa e erosões do córtex flexor; D, formação de lesão cística (THRALL, 2010).


TRATAMENTO

Vários tratamentos são destinados a reduzir ou interromper a degeneração progressiva do osso navicular ou fornecer alívio paliativo da dor (SMITH, 2006).

A eficácia do tratamento depende de fatores como tempo de início do tratamento, uso e conformação do cavalo. O tratamento de casos iniciais da síndrome do navicular, com poucas alterações radiográficas, pode ser eficaz e apresentar bons resultados.

O tratamento geralmente envolve períodos variáveis de repouso, cuidado com os cascos e colocação e ferradura corretivos, drogas para melhorar o fluxo sanguíneo, agentes anti-inflamatórios e, recentemente, drogas específicas para o tratamento da artrite (STASHAK, 2006). Além disso, o tratamento cirúrgico também é uma opção, incluindo a desmotomia para suspensão do osso navicular, a neurectomia da articulação interfalangeana distal por três ligamentos e a neurectomia digital palmar, cuja função é aliviar a dor.


CONCLUSÃO

A Síndrome do Navicular é uma condição degenerativa que impacta diretamente o desempenho atlético dos equinos, causando dor crônica e claudicação. Sua complexidade está relacionada a vários fatores, como a biomecânica do movimento, a falta de vascularização e as alterações articulares associadas ao osso navicular e seus componentes. A avaliação detalhada, incluindo exames clínicos, bloqueios nervosos e radiografias em múltiplas projeções, é essencial para um diagnóstico preciso. A identificação precoce e o tratamento adequado, que pode incluir desde terapias conservadoras até abordagens cirúrgicas, são fundamentais para retardar a progressão da doença e proporcionar alívio ao animal. A eficácia do tratamento depende de vários fatores, como o estágio da doença, a resposta individual e a conformação do cavalo, sendo que a intervenção precoce tende a resultar em melhores prognósticos. A compreensão dos mecanismos subjacentes à síndrome, como fatores genéticos e biomecânicos, continua a ser uma área importante de pesquisa, com o objetivo de melhorar os métodos de diagnóstico e tratamento, contribuindo para o bem-estar dos equinos e a longevidade de suas carreiras atléticas.


Referências Bibliográficas

FLORINDO, Renato Martin. Síndrome do navicular. São Paulo: Faculdade Metropolitana Unidas, 2010. Disponível em: < http://arquivo.fmu.br/prodisc/medvet/rmf.pdf> 


RIJKENHUIZEN, A.B.M. Navicular disease: a review of what’s new. Equine Veterinary Journal .V.38, p.82 - 88. 2006.


STASHAK, Ted S. Claudicação em equinos segundo Adams. 5ª ed. São Paulo: Roca, 2006.


SMITH, B.P. Medicina interna de grandes animais. 3ª Ed. Barueri: Manole, 2006. 


THRALL, Donald E. Diagnóstico de radiologia veterinária. 5ª ed. Rio de Janeiro: Elsevier, 2010.


TODERO,L.M; RIBEIRO,C; ALAYON,A.C.E; MATIAS,L.C; REIS,L.D; RODRIGURES, P.D; PESSINATTI, B.D. Diagnóstico da Síndrome Podotroclear Em Equinos: Alterações Radiográficas e Ultrassonográficas - Encontro Acadêmico de Produção Científica de Medicina Veterinária / UNIFEOB – São João da Boa Vista/SP, 2022.


M.V Ricardo Prianti
M.V Ricardo Prianti
Médico Veterinário, proprietário da Clínica de Equinos Prianti